ADVANCED TRAINING
«Hot Questions»

9-hour educational experience
Ready to elevate your daily practice? 
Join dr. Francesca Vailati for this new exclusive interactive live stream.
Learn directly from her real patient cases and get the answers to her HOT QUESTIONS, that for sure are also your questions.

TO WHOM
: for 3STEP graduated & advanced clinicians
Find answers that no textbook can give you.

THE 6 LIVE SESSIONS

22 JANUARY 2026

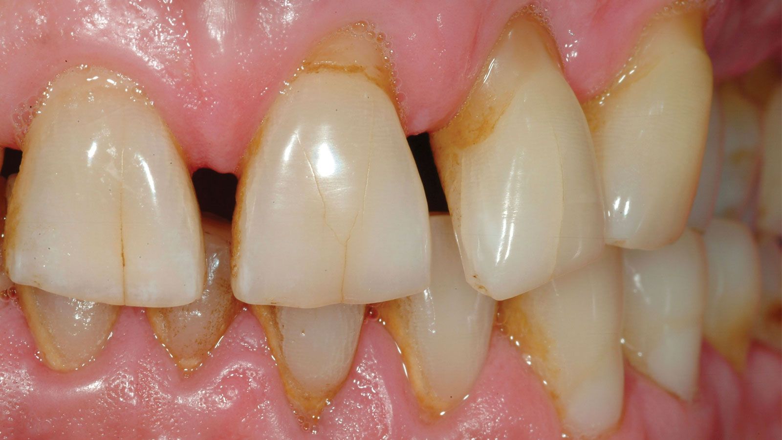
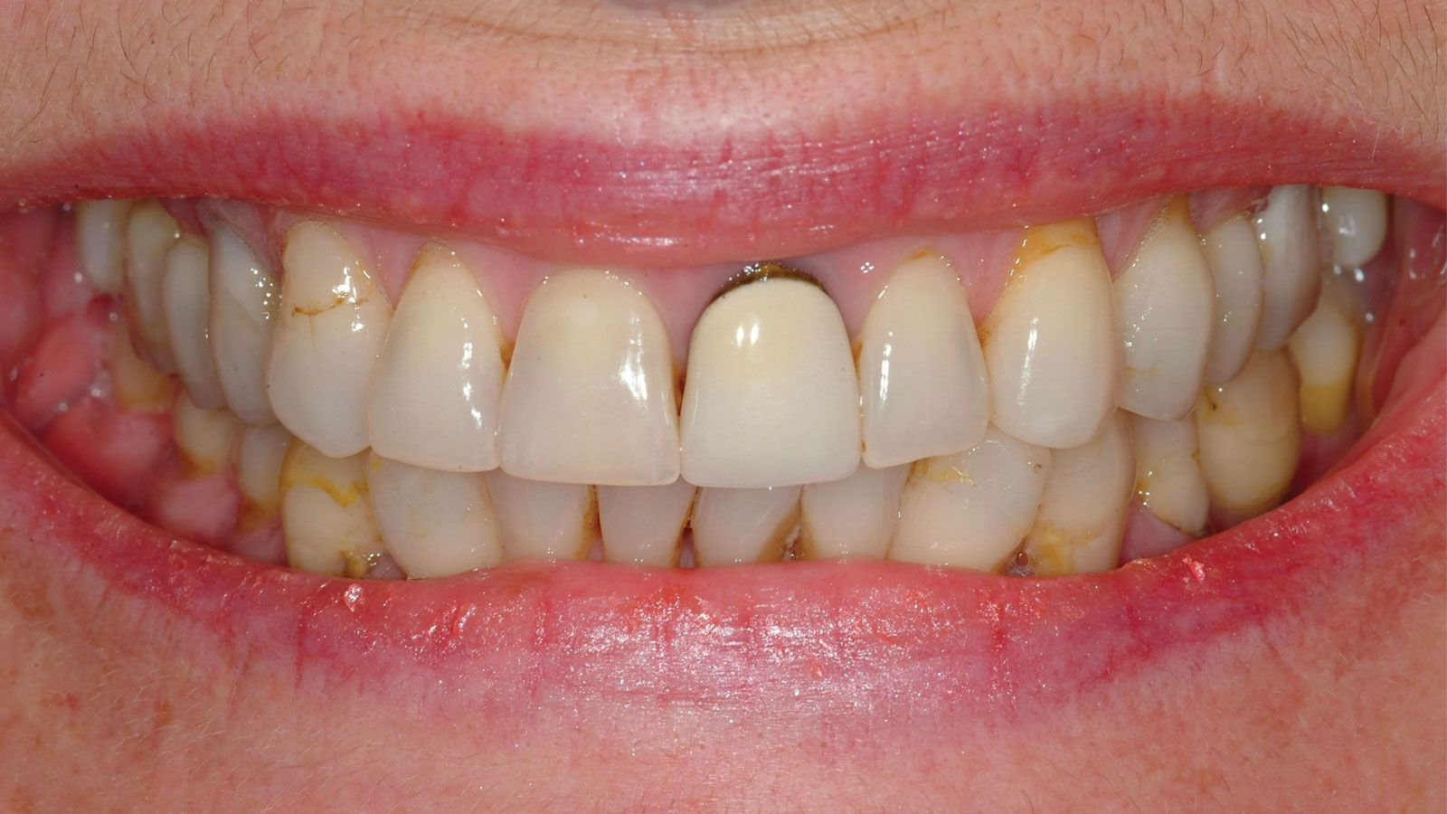
1 CAN FUNCTIONAL CONFLICTS AFFECT PERIODONTAL HEALTH?

Recessions, gingivitis and loss of bone explained differently.
19 FEBRUARY 2026

2 ARE WE USING CERAMIC OR COMPOSITE VENEERS?

Long term follow-up on the success and failures of veneers.
26 MARCH 2026

3 WHICH DENTAL MATERIAL SELECT FOR THE POSTERIOR SUPPORT?

The price to pay, and who will pay it.
9 APRIL 2026

4 IS ORTHODONTIC THERAPY REALLY NECESSARY IN ADULTS?

Nobody easily accepts long therapies. 
14 MAY 2026

5 CAN WE ALWAYS MAKE PATIENTS HAPPY?

When to say no is a blessing for us.
11 JUNE 2026

6 ARE WE CONCERNED THAT PATIENTS DO NOT BREATH?

Sleep apnea and dentistry.

Are you ready to learn?

The course can only be purchased at www.3stepacademy.com
and will be at a special price until 31 January 2026.